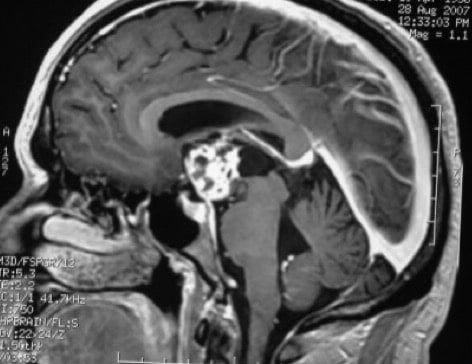
Adenoma secretante

El prolactinoma es el tipo más común de tumor hipofisario (adenoma) que produce una hormona. Representa aproximadamente el 30% de todos los adenomas de la hipófisis. Casi todos los tumores hipofisarios no son cancerosos (benignos). Un prolactinoma se puede presentar como parte de un trastorno hereditario llamado neoplasia endocrina múltiple tipo 1 (NEM 1).

Los prolactinomas ocurren con mayor frecuencia en personas menores de 40 años. Son más comunes en mujeres que en hombres, pero son poco frecuentes en los niños.

Por lo menos la mitad de todos los prolactinomas son muy pequeños (menos de 1 centímetro o 3/8 de una pulgada de diámetro). Estos pequeños tumores ocurren con más frecuencia en las mujeres y son llamados microprolactinomas.

Los tumores más grandes son más comunes en los hombres. Tienden a ocurrir a una edad avanzada. El tumor puede crecer hasta un tamaño grande antes de que aparezcan los síntomas. Los tumores más grandes de 3/8 pulgadas (1cm) de diámetro son llamados macroprolactinomas.

El tumor a menudo se detecta en una etapa más temprana en las mujeres que en los hombres debido a los períodos menstruales irregulares.

Menú

Contacto