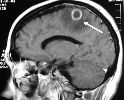
Absceso cerebral

Es una acumulación de células inmunitarias, pus y otros materiales en el cerebro, generalmente a raíz de una infección bacteriana o micótica.
Causas

Los abscesos cerebrales comúnmente ocurren cuando las bacterias u hongos infectan parte del cerebro. Como resultado, se presenta hinchazón e irritación (inflamación). Las células cerebrales infectadas, los glóbulos blancos, al igual que las bacterias u hongos vivos y muertos se acumulan en una zona del cerebro. Se forma tejido alrededor de esta zona y crea una masa o un absceso.

Los microorganismos que causan un absceso cerebral pueden llegar al cerebro a través de la sangre. O, entran al cerebro directamente, como puede ser durante una cirugía cerebral. En algunos casos, un absceso cerebral se desarrolla a partir de una infección en los senos paranasales.

A menudo no se encuentra la fuente de la infección. Sin embargo, la fuente más común es una infección en los pulmones. Muy rara vez, la causa es una infección en el corazón.

Los siguientes factores aumentan el riesgo de que se desarrolle un absceso cerebral:

Un sistema inmunitario debilitado (como en las personas con VIH/sida).
Una enfermedad crónica, como el cáncer.
Medicamentos que inhiben el sistema inmunitario (corticosteroides o quimioterapia).
Cardiopatía congénita.

Menú

Contacto